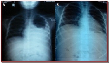
A 9-year-old girl presented with jaundice, abdominal distension, hematemesis, melena and pleural effusion
DOI:
https://doi.org/10.3329/bsmmuj.v11i4.37996Abstract
This article has no abstract. The first 100 words appear below:
A 9-year-old girl of non-consanguineous parents presented at the outpatient department with the history of jaundice and abdominal distension for 20 days and respiratory distress for 7 days. She also complained of bloody vomiting without any melena. The mother gave the history of abdominal pain for 2 days which was diffuse in nature. Her menarche had not started yet. Her younger sister is healthy. She had no history of fever, constipation, family history of liver disease, sib death, contact with known tuberculosis patient, blood transfusion or parenteral medication. On examination, she was afebrile, moderately pale, dyspnea and leukonychia. Bilateral pedal edema was present.
Downloads
259
148

Downloads
Published
How to Cite
Issue
Section
License
Copyright (c) 2018 Parisa Marjan, Md. Rukunuzzaman, A. S. M. Bazlul Karim, Mohuya Mondal, Hazera Akter

This work is licensed under a Creative Commons Attribution-NonCommercial 4.0 International License.