Effect of ethanol extract of Trigonella foenum-graecum on gentamicin-induced nephrotoxicity in rat
DOI:
https://doi.org/10.3329/bsmmuj.v11i2.35778Keywords:
Fenugreek, Gentamicin, Nephrotoxicity, Trigonella foenum-graecumAbstract
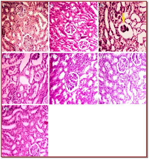
The present study was designed to determine the ameliorative effect of ethanol extract of Trigonella foenum-graecum in an experimental model of gentamicin-induced nephrotoxic rat. To induce nephrotoxicity, gentamicin was administered (80 mg/kg/day for 7 days) intraperitoneally. The ethanol extract of T. foenum-graecum was administered (500 mg/kg/day) orally concomitantly with gentamicin for 21 days and 28 days in different groups. Biochemical indices i.e. serum creatinine and serum urea levels were estimated to determine nephrotoxicity and amelioration of nephrotoxicity in all groups. To determine the status of oxidative stress and lipid peroxidation, the renal cortical reduced glutathione and malondialdehyde levels were estimated. Changes in renal architecture were estimated by histopathology of renal tissues. Statistically significant amelioration was observed in all the biochemical parameters supported by significant improvement of renal cortical histology in T. foenum-graecum-treated groups.
Downloads
233
171 Read
56
Published
How to Cite
Issue
Section
License
Copyright (c) 2018 Syeda Rubayat Hilmi, Zesmin Fauzia Dewan, A. K. M. Nurul Kabir

This work is licensed under a Creative Commons Attribution-NonCommercial 4.0 International License.