Histopathological analysis of the coronary atheroma extracted during coronary artery bypass graft surgery
DOI:
https://doi.org/10.3329/bsmmuj.v11i3.37827Abstract
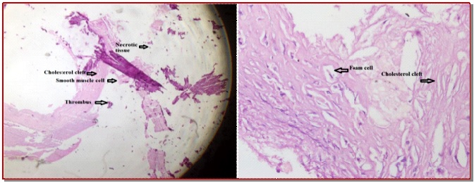
This study aims to evaluate the histopathological analysis as well as the effect of coronary endarterectomy with severe calcified coronary artery disease. During the year of 2015 to 2017, a total of 135 patients (56 patients of stable angina and 79 patients of unstable angina) underwent atherectomy in adjunct to off-pump coronary artery bypass graft surgery. Histopathological study of atheroma specimen demonstrates the presence of calcification, foam cell, cholesterol clefts, thrombus, smooth muscle cell, and also necrotic tissue using standard hematoxylin and eosin stain techniques. However, smooth muscle cells and foam cell were identified with plaque using the monoclonal antibodies. Thrombus was more common in unstable angina group of patients (64.4%) in comparison to the patients with stable angina (23.2%). An accelerated progression pattern of smooth muscle cell proliferation and calcification were observed which was also common and significantly higher in unstable angina group of patients. The presence of thrombus and accelerated progressive pattern of smooth muscle cell proliferation in unstable angina patients imply the episodic disruption of atheromatous plaque followed by subsequent healing and may play a vital role in the pathophysiology of underlying angina pectoris.
Downloads
347
101 Read
18

Additional Files
Published
How to Cite
Issue
Section
License
Copyright (c) 2018 Redoy Ranjan, Dipannita Adhikary, Mayank Acharya, Saumitra Chakravarty, Sanjoy Kumar Saha, Asit Baran Adhikary

This work is licensed under a Creative Commons Attribution-NonCommercial 4.0 International License.