Solanum incanum extract enhances wound healing and tissue regeneration in burn mice model
DOI:
https://doi.org/10.3329/bjp.v14i2.40098Keywords:
Burn wound, Histopathology, Solanum incanum, Tissue regeneration, Wound healingAbstract
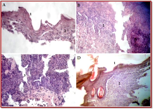
This study was conducted to evaluate the topical efficacy of Solanum incanum for the treatment of partial-thickness burn in mice model. Mice were treated with topical ointment of S. incanum three times daily for 14 days. The wound healing was observed through wound contraction and histological parameters. The group treated with S. incanum ointment showed 81% reduction in wound area as compared to negative control where wound area reduced to 22%. The histological analysis further confirmed that ointment favors the tissue regeneration and reepithelization thus heal wound rapidly as compared to other groups. In conclusion, S. incanum extract enhances wound healing and tissue regeneration.
Video clip of Methodology:
Partial thickness burn: 2 min 1 sec Click to watch
Downloads
221
160 Read
324

Published
How to Cite
Issue
Section
License
Authors who publish with this journal agree to the following terms:
- Authors retain copyright and grant the journal right of first publication with the work simultaneously licensed under a Creative Commons Attribution License that allows others to share the work with an acknowledgement of the work's authorship and initial publication in this journal.
- Authors are able to enter into separate, additional contractual arrangements for the non-exclusive distribution of the journal's published version of the work (e.g., post it to an institutional repository or publish it in a book), with an acknowledgement of its initial publication in this journal.
- Authors are permitted and encouraged to post their work online (e.g., in institutional repositories or on their website) prior to and during the submission process, as it can lead to productive exchanges, as well as earlier and greater citation of published work (See The Effect of Open Access).