Potential of Mimosa pudica leaf in the treatment of ulcerative colitis in rat
DOI:
https://doi.org/10.3329/bjp.v13i3.35648Keywords:
Mimosa pudica, Ulcerative colitisAbstract
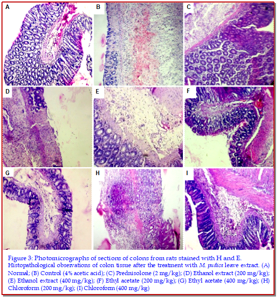
The aim of present investigation was to validate its folk use in the treatment of ulcerative colitis in the rat model. Sprague Dawley rats were divided into nine groups with six animals in each group. The rats received seven days of pretreatment with chloroform, ethyl acetate or ethanolic extract of Mimosa pudica. For induction of ulcerative colitis, rats were administered with 2 mL of 4% acetic acid solution intrarectally. Ulcer index, macroscopical study of the colon, myeloperoxidase and malondialdehyde levels in colon tissue and blood, and histopathology of the colon tissue were studied. Intrarectal instillation of acetic acid caused increased ulcer index, colonic myeloperoxidase and malondialdehyde. Pretreatment with M. pudica ethanolic extract (400 mg/kg) significantly lowered the ulcer index, colonic myeloperoxidase and malondialdehyde as compared with the standard drug prednisolone. The present investigation demonstrates that the ethanol extract of M. pudica leaf is effective in the treatment of ulcerative colitis.
Video Clip of Methodology:
Embedding or block making: 24 sec Click to watch
Tissue processing: 19 sec Click to watch
Section cutting: 33 sec Click to watch
Downloads
161
102 Read
76

Published
How to Cite
Issue
Section
License
Authors who publish with this journal agree to the following terms:
- Authors retain copyright and grant the journal right of first publication with the work simultaneously licensed under a Creative Commons Attribution License that allows others to share the work with an acknowledgement of the work's authorship and initial publication in this journal.
- Authors are able to enter into separate, additional contractual arrangements for the non-exclusive distribution of the journal's published version of the work (e.g., post it to an institutional repository or publish it in a book), with an acknowledgement of its initial publication in this journal.
- Authors are permitted and encouraged to post their work online (e.g., in institutional repositories or on their website) prior to and during the submission process, as it can lead to productive exchanges, as well as earlier and greater citation of published work (See The Effect of Open Access).