Extraction, characterization and evaluation of Eruca sativa against streptozotocin-induced diabetic nephropathy in rat
DOI:
https://doi.org/10.3329/bjp.v12i2.32065Keywords:
AGEs, Hyperglycemia, Kaempferol, Oxidative stress, Quercetin, STZAbstract
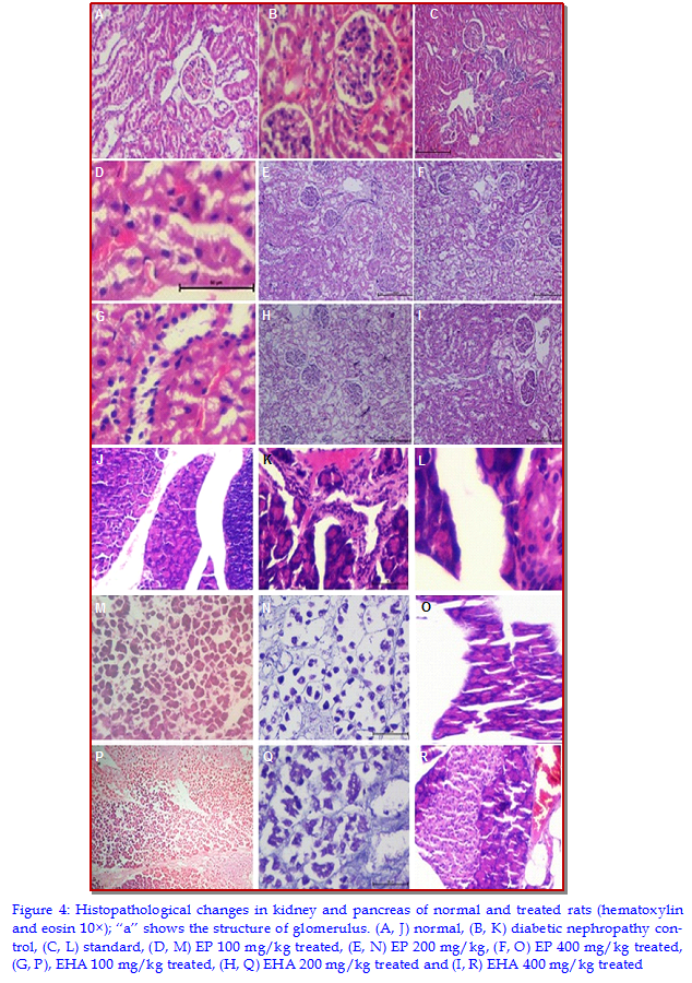
The present study was aimed to evaluate petroleum ether and hydroalcohol extracts of Eruca sativa seeds in the treatment of diabetic nephropathy in the rat model. GC-MS analysis of petroleum ether extract revealed the presence of fatty acids and erucic acid. Quercetin and kaempferol were isolated from the hydroalcohol extract. Diabetes was induced in rat by streptozotocin (65 mg/kg i.p.) 15 min after nicotinamide (230 mg/kg, i.p.) administration. Both the extracts at different doses produced a significant attenuation in the elevated serum glucose level. Elevated renal parameters, lipid and anti-oxidant enzyme levels were restored in a dose-dependant manner. Moreover, both extracts produced significant reduction in the formation of advanced glycation end products in the kidney. These findings suggest that E. sativa might inhibit the progression of diabetic nephropathy and could be a therapeutic agent for the management of diabetic nephropathy.
Video Clip of Methodology:
Extraction of compounds from seeds: 3 min 45 sec Full Screen Alternate
Downloads
143
105 Read
16
 
											Published
How to Cite
Issue
Section
License
Authors who publish with this journal agree to the following terms:
- Authors retain copyright and grant the journal right of first publication with the work simultaneously licensed under a Creative Commons Attribution License that allows others to share the work with an acknowledgement of the work's authorship and initial publication in this journal.
- Authors are able to enter into separate, additional contractual arrangements for the non-exclusive distribution of the journal's published version of the work (e.g., post it to an institutional repository or publish it in a book), with an acknowledgement of its initial publication in this journal.
- Authors are permitted and encouraged to post their work online (e.g., in institutional repositories or on their website) prior to and during the submission process, as it can lead to productive exchanges, as well as earlier and greater citation of published work (See The Effect of Open Access).
 
    