Anti-cancer effect of naringenin chalcone is mediated via the induction of autophagy, apoptosis and activation of PI3K/Akt signalling pathway
DOI:
https://doi.org/10.3329/bjp.v11i3.27518Keywords:
Anti-cancer, Apoptosis, Autophagy, Naringenin chalcone, PI3K/Akt signalling pathwayAbstract
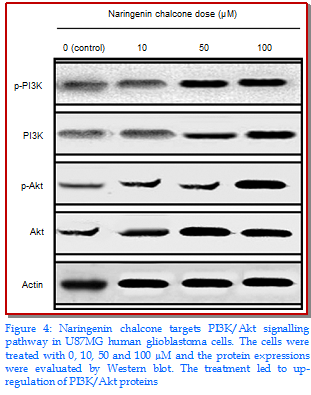
The aim of the current study was to investigate the in vitro and in vivo anti-tumor effects of naringenin chalcone in U87MG human glioblastoma cells and in xenograft mice model. The effect of naringenin chalcone on apoptosis induction was assessed by fluorescence microscopy using acridine orange/ethidium bromide and Hoechst 33342. Effect of the compound on PI3K/Akt signalling proteins was assessed by Western blot assay. Naringenin chalcone induced dose-dependent as well as time-dependent cytotoxic effects in these cells. Transmission electron microscopy showed that naringenin chalcone induced the formation of autophagic vacuoles. The number and size of these autophagic vacuoles increased with increasing dose of naringenin chalcone. It also led to the activation of both phosphorylated as well as non-phosphorylated PI3K and Akt proteins. In vivo results showed that both tumor volume and tumor weight were lesser in naringenin chalcone-treated groups with its different doses than in vehicle control group.
Video Clip of Methodology:
Cell proliferation assay: 1 min 08 sec Click to watch
Downloads
352
214 Read
124 Feature
85

Published
How to Cite
Issue
Section
License
Authors who publish with this journal agree to the following terms:
- Authors retain copyright and grant the journal right of first publication with the work simultaneously licensed under a Creative Commons Attribution License that allows others to share the work with an acknowledgement of the work's authorship and initial publication in this journal.
- Authors are able to enter into separate, additional contractual arrangements for the non-exclusive distribution of the journal's published version of the work (e.g., post it to an institutional repository or publish it in a book), with an acknowledgement of its initial publication in this journal.
- Authors are permitted and encouraged to post their work online (e.g., in institutional repositories or on their website) prior to and during the submission process, as it can lead to productive exchanges, as well as earlier and greater citation of published work (See The Effect of Open Access).