Alpha-Naphthylisothiocyanate triggering G2/M phase arrest and apoptosis in human brain malignant glioma U87MG cells via mitochondrial pathway
DOI:
https://doi.org/10.3329/bjp.v10i1.21096Keywords:
Alpha-naphthyl isothiocyanate, Apoptosis, Brain malignant glioma, G2/M phase, Mitochondria, U87MG cellAbstract
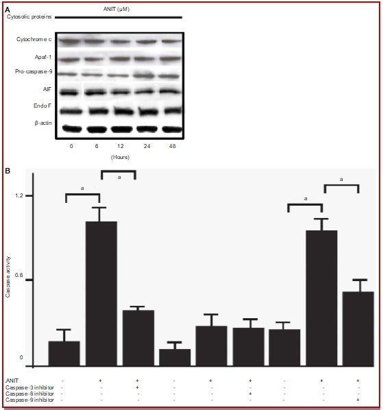
Cancer protective effect of cruciferous vegetables is partly attributed to organic isothiocyanates (ITC) with an N = C = S functional group. Elucidation of the mechanism by which ITCs impart protection against cancer has been the topic of intense research in the past few decades. In this study, we demonstrate that ANIT significantly decreased proliferation and viability of human brain malignant glioma U87MG cells in a dose-dependent manner. The cell cycle analysis showed that ANIT induced significantly G2/M arrest and sub-G1 phase (apoptotic population) in U87MG cells. CDK1 activity assay and Western blot analysis showed that there observed marked reduction in the CDK1/cyclin B activity and protein levels. Pretreatment with specific inhibitors of caspase-3 (Z-DEVE-FMK) and -9(Z-LEHD-FMK) significantly reduced caspase-3 and -9 activity in U87MG cells. Western blot analysis and colorimetric assays also displayed that ANIT caused a time-dependent increase in cytosolic cytochrome c, pro-caspase-9, Apaf-1, AIF, Endo G and the stimulated caspase-9 and -3 activity.
Downloads
302
179 Read
128

Published
How to Cite
Issue
Section
License
Authors who publish with this journal agree to the following terms:
- Authors retain copyright and grant the journal right of first publication with the work simultaneously licensed under a Creative Commons Attribution License that allows others to share the work with an acknowledgement of the work's authorship and initial publication in this journal.
- Authors are able to enter into separate, additional contractual arrangements for the non-exclusive distribution of the journal's published version of the work (e.g., post it to an institutional repository or publish it in a book), with an acknowledgement of its initial publication in this journal.
- Authors are permitted and encouraged to post their work online (e.g., in institutional repositories or on their website) prior to and during the submission process, as it can lead to productive exchanges, as well as earlier and greater citation of published work (See The Effect of Open Access).