Hepatoprotective effect of Helicanthus elastica

Authors

  • K. N. Sunil Kumar Department of Pharmacognosy, SDM Centre for Research in Ayurveda and Allied Sciences, Laxminarayana Nagar, Kuthpady, Udupi 574-118 http://orcid.org/0000-0003-4286-3069
  • R. Rajakrishnan Deparment of Botany and Microbiology, College of Science, King Saud University, P.O. Box 2455, Riyadh 11-451
  • J. Thomas Deparment of Botany and Microbiology, College of Science, King Saud University, P.O. Box 2455, Riyadh 11-451
  • G. Aadinaath Reddy Department of Pharmacology, Siddha Central Research Institute, Arignar Anna Govt. Hospital Campus, Arumbakkam, Chennai 600-106

DOI:

https://doi.org/10.3329/bjp.v11i2.26149

Keywords:

Helicanthus elastica, Hepatoprotective

Abstract

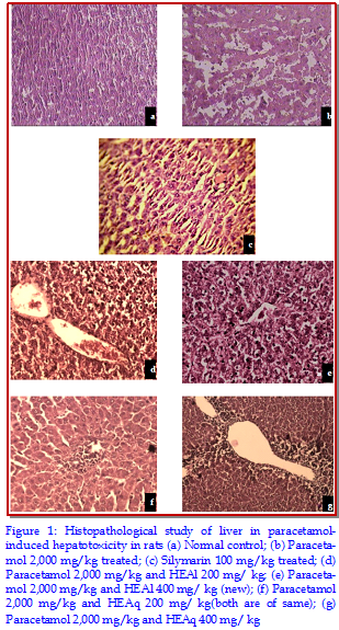
Search for medicinal plants to treat liver disorders is an important research topic on herbs. Acute toxicity study is a prerequisite for safety and dose fixation for further pharmacological actions. In the present study, aqueous and 95% ethanolic extract of whole plant of Helicanthus elastica were subjected to acute oral toxicity. The aqueous and ethanolic extract revealed no observable changes in the rats up to the dose level of 2,000 mg /kg body weight. The extracts were then screened for paracetamol-induced hepatic injury at dose levels of 200 and 400 mg/kg body weight (1/10 and 1/5 LD50 based on toxicity study). The aqueous extract of whole plant of H. elastica was found to produce significant (p<0.05) reversal of the paracetamol-induced changes in the measured biochemical and histopathological parameters at lower dose of 200 mg/kg which was found to be better than ethanol extract at the same dose level.

Video Clip of Methodology:

Acute toxicity study and others: 5 min 38 sec   Full Screen   Alternate

Downloads

Download data is not yet available.
Abstract
535
Download
287 Read
169

Author Biography

K. N. Sunil Kumar, Department of Pharmacognosy, SDM Centre for Research in Ayurveda and Allied Sciences, Laxminarayana Nagar, Kuthpady, Udupi 574-118

Senior Research Officer

References

Aleykutty NA, Srinivasan KK, Rao GP, Keshavamurthy KR, Udupa AL. Study of the diuretic activity of Helicanthes elastica. Fitoterapia 1991; 62: 439-40.

Bauer I, Vollmar B, Jaeschke H, Rensing H, Kraemer T, Larsen R, Bauer M. Transcriptional activation of heme oxygenase-1 and its functional significance in acetaminophen-induced hepatitis and hepatocellular injury in the rat. J Hepatol. 2000; 33: 395.

Bergmeyer HU, Horder M, Rej R. IFCC methods for the measurements of catalytic concentrations of enzymes. J Clin Chem Biochem. 1986; 24: 481.

Bussing A. Biological and pharmacological properties of Viscum album L. from tissue flask to man. In: Mistletoe: The genus Viscum. Büssing A. (ed). The Netherlands, The Gordon and Breach Publishing Group, 2004, p 123.

Desai SN, Patel DK, Devkar RV, Patel PV, Ramachandran AV. Hepatoprotective potential of polyphenol rich extract of Murraya koenigii L: An in vivo study. Food Chem Toxicol. 2012; 50: 310.

Eoin W, Jiang HW, Paul R, Qiong DW, Elaine K, David B. Role of taurine in preventing acetaminophen-induced hepatic injury in the rat. Am J Physiol Gastrointest Liver Physiol. 2007; 280: 1274.

Garber CC. Jendrassik-Grof analysis for total and direct bilirubin in serum with a centrifugal analyzer. Clin Chem. 1981; 27: 1410-16.

Guven K, Mehmet D, Ahmet N, Zafer Y, Rami L, Ahmet K, Tolunay K, Hasan K, Sadik S. Effects of erdosteine on acetaminophen-induced hepatotoxicity in rats. Toxicol Pathol. 2008; 36: 714.

Jadhav N, Patil CR, Chaudhari KB, Wagh JP, Surana SJ, Jadhav RB. Diuretic and natriuretic activity of two mistletoe species in rats. Phcog Res. 2010; 2: 50-57.

Kaviarasan S, Viswanathan P, Anuradha CV. Fenugreek seed (Trigonella foenum-graecum) polyphenols inhibit ethanol-induced collagen and lipid accumulation in rat liver. Cell Biol Toxicol. 2007; 23: 373.

Kirtikar KR, Basu BD. Indian medicinal plants. Vol. III. Dehradoon, M/S. Bishen Singh Mahendra Singh Pal, 1935, pp 2178-85.

Lubran MM. The measurement of total serum proteins by the Biuret method. Ann Clin Lab Sci. 1978; 8: 106.

Mary KT, Girija K, Ramadasan K. Partial purification of tumour reducing principle from Helicanthus elasticus (Fam. Loranthaceae). Cancer Lett. 1994; 81: 53-57.

Negi AS, Kumar JK, Luqman S, Shanker K, Gupta MM, Khanuja SPS. Recent advances in plant hepatoprotectives: A chemical and biological profile of some important leads. Med Res Rev. 2008; 28: 746.

Sangeetha B, Krishnakumari S. Tephrosia purpurea (Linn.) Pers: A folk medicinal plant ameliorates carbon tetrachloride-induced hepatic damage in rats. Int J Pharma Biosci. 2010; 1: 1.

Sanjeev H, Arun KB, Nitin M. Immunomodulatory activity of methanolic extracts of fruits and bark of Ficus glomerata Roxb. in mice and on human neutrophils. Indian J Pharmacol. 2013; 45: 130.

Schiodt FV, Rochling FA, Casey DL, Lee WM. Acetaminophen toxicity in an urban county hospital. N Engl J Med. 1997; 337: 1112.

Sunil Kumar KN, Saraswathy A, Amerjothy S, Balakrishna K. Phytochemical examination of compounds from mango mistletoeHelicanthus elastica (Desr.) Danser. IJC-B. 2015; 54B: 924-29.

Sunil Kumar KN, Saraswathy A, Amerjothy S, Ravishankar B. Antimicrobial potential of Helicanthus elastica (Desr.) Danser growing on mango (Mango mistletoe). J Trad Complem Med. 2014a; 4: 258-62.

Sunil Kumar KN, Saraswathy A, Amerjothy S, Susan T, Ravishankar B. Total phenol content and in vitro anti-oxidant potential of Helicanthus elastica (Desr.) Danser: A less explored Indian mango mistletoe. J Trad Complem Med. 2014b; 4: 285-88.

Sunil Kumar KN, Shakila R, Amerjothy S. Physicochemical evaluation, neutraceutical composition and HPLC-UV fingerprint of Helicanthus elastica (Desr.) Danser (Indian mango mistletoe). Int J Green Pharm. 2014c; 8: 175-79.

Sunil Kumar KN. Pharmacognostical, phytochemical and medicinal activity profile of Helicanthus elastica (Desr.) Danser (Mango mistletoe)Loranthaceae. PhD Thesis. Chennai. The University of Madras, 2011.

Tirtha G, Tapan KM, Mrinmay D, Anindya B, Deepak KD. In Vitro Anti-oxidant and hepatoprotective activity of ethanolic extract of Bacopa monnieri Linn. Aerial Parts, Iran J Pharmacol Ther. 2007; 6: 77.

Additional Files

Published

2016-05-01

How to Cite

Sunil Kumar, K. N., et al. “Hepatoprotective Effect of Helicanthus Elastica”. Bangladesh Journal of Pharmacology, vol. 11, no. 2, May 2016, pp. 525-30, doi:10.3329/bjp.v11i2.26149.

Issue

Section

Research Articles