Taxithelium napalense acts against free radicals and diabetes mellitus
DOI:
https://doi.org/10.3329/bjp.v12i2.31764Keywords:
Antidiabetic, Anti-oxidant, Free radical, Taxithelium napalenseAbstract
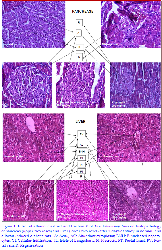
In this work, Taxithelium nepalense ethanolic extract and its fractions were evaluated for the antidiabetic activity in rat based on phytochemical and free radical scavenging properties. The ethanolic extract, fraction IV and V significantly attenuated the blood glucose levels at 600, 200 and 200 mg/kg with 50.0, 33.5 and 42.0% inhibition respectively. The histopathological studies were manifesting the recuperation of damaged cells in liver and pancreas tissues. The outcomes of the present work affirm that the T. nepalense has a potency to plummet the overproduction of free radicals and blood glucose levels in the diabetic-induced rat.
Video Clip of Methodology:
Induction of diabetes: 1 min 50 sec Full Screen Alternate
Downloads
249
246 Read
37
Published
How to Cite
Issue
Section
License
Authors who publish with this journal agree to the following terms:
- Authors retain copyright and grant the journal right of first publication with the work simultaneously licensed under a Creative Commons Attribution License that allows others to share the work with an acknowledgement of the work's authorship and initial publication in this journal.
- Authors are able to enter into separate, additional contractual arrangements for the non-exclusive distribution of the journal's published version of the work (e.g., post it to an institutional repository or publish it in a book), with an acknowledgement of its initial publication in this journal.
- Authors are permitted and encouraged to post their work online (e.g., in institutional repositories or on their website) prior to and during the submission process, as it can lead to productive exchanges, as well as earlier and greater citation of published work (See The Effect of Open Access).