Fisetin, a dietary flavonoid induces apoptosis via modulating the MAPK and PI3K/Akt signalling pathways in human osteosarcoma (U-2 OS) cells
DOI:
https://doi.org/10.3329/bjp.v10i4.23039Keywords:
Apoptosis, Fisetin, MAPK signalling pathway, PI3K/Akt, OsteosarcomaAbstract
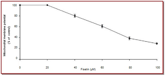
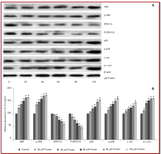
Human osteosarcoma is the most prevalent primary malignant bone tumor with high frequency of invasion and metastasis. Strong resistance coupled with toxicity of the currently available chemotherapeutic drugs poses challenge in treatment. The study aimed to investigate if fisetin, a dietary flavonoid induced apoptosis in human osteosarcoma (U-2 OS) cells. Fisetin at 20-100 µM effectively reduced the viability of OS cells, and induced apoptosis by significantly inducing the expression of caspases (Caspases- 3,-8 and -9) and pro-apoptotic proteins (Bax and Bad) with subsequent down-regulation of Bcl-xL and Bcl-2. While fisetin inhibited PI3K/Akt pathway and ERK1/2, it caused enhanced expressions of p-JNK, p-c-Jun and p-p38. Fisetin-induced ROS generation and decrease in mitochondrial membrane potential would have also contributed to rise in apoptotic cell counts. The observations suggest that fisetin was able to effectively induce apoptosis of U-2 OS cells through ROS generation and modulation of MAPK and PI3K/Akt signalling cascades.
Downloads
427
285 Read
160

Published
How to Cite
Issue
Section
License
Authors who publish with this journal agree to the following terms:
- Authors retain copyright and grant the journal right of first publication with the work simultaneously licensed under a Creative Commons Attribution License that allows others to share the work with an acknowledgement of the work's authorship and initial publication in this journal.
- Authors are able to enter into separate, additional contractual arrangements for the non-exclusive distribution of the journal's published version of the work (e.g., post it to an institutional repository or publish it in a book), with an acknowledgement of its initial publication in this journal.
- Authors are permitted and encouraged to post their work online (e.g., in institutional repositories or on their website) prior to and during the submission process, as it can lead to productive exchanges, as well as earlier and greater citation of published work (See The Effect of Open Access).