Ellagic acid regulates Wnt/beta-catenin signaling pathway and CDK8 in HCT 116 and HT 29 colon cancer cells
DOI:
https://doi.org/10.3329/bjp.v10i1.21068Keywords:
CDK8, Colon cancer, Ellagic acid, Wnt/?-cateninAbstract
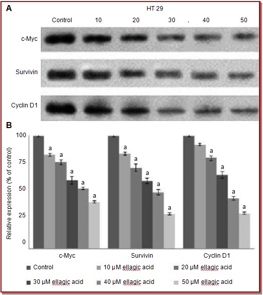
Colorectal cancer is one of the leading causes of death worldwide. Wnt/beta-catenin signalling pathway plays a central role in normal cellular responses, making it a potent target in cancer therapy. Study was taken to assess whether ellagic acid modulates Wnt/beta-catenin pathway and CDK8 activity in colon cancer cells. Effect of ellagic acid on viability of colon cancer cell lines (HT 29 and HCT 116), were assessed by MTT assay and its influence on CDK8, ?-catenin, p-?-catenin, axin1 and 2, survivin, c-Myc and cyclin D1 expressions were determined by western blotting. The levels of survivin, c-Myc and cyclin D1 were also analysed following siCDK8 transfection. Ellagic acid caused significant decrease in viability of HT 29 and HCT 116 cells. Expression of CDK 8, ?-catenin, survivin, c-Myc and cyclin D1were markedly reduced on exposure to ellagic acid. Significant up-regulation in the expression of p-?-catenin, axin1 and 2 were observed. siCDK8 transfection resulted in marked reduction in the expression of survivin, c-Myc and cyclin D1. Ellagic acid was able to effectively reduce cell viability and modulate expressions of Wnt/beta-catenin signalling cascade proteins and down regulate the activity and expression of CDK8 in HT 29 and HCT 116 cells.
Downloads
561
404 Read
208

Published
How to Cite
Issue
Section
License
Authors who publish with this journal agree to the following terms:
- Authors retain copyright and grant the journal right of first publication with the work simultaneously licensed under a Creative Commons Attribution License that allows others to share the work with an acknowledgement of the work's authorship and initial publication in this journal.
- Authors are able to enter into separate, additional contractual arrangements for the non-exclusive distribution of the journal's published version of the work (e.g., post it to an institutional repository or publish it in a book), with an acknowledgement of its initial publication in this journal.
- Authors are permitted and encouraged to post their work online (e.g., in institutional repositories or on their website) prior to and during the submission process, as it can lead to productive exchanges, as well as earlier and greater citation of published work (See The Effect of Open Access).