Hepatoprotective studies on methanolic extract of whole plant of Lindernia ciliata
DOI:
https://doi.org/10.3329/bjp.v9i4.20471Keywords:
Anti oxidants, Ethanol, Galactosamine, Lindernia ciliata, Paracetamol.Abstract
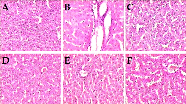
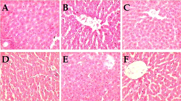
Lindernia ciliata is traditionally used in the treatment of jaundice. In the present study, the methanolic extract of L. ciliata was evaluated for its hepatoprotective activity in paracetamol, ethanol and D-galactosamine intoxicated rats. The activity of the extract was assessed on the basis of improvement in the altered level of various serum biochemical parameters and in the changes occurred in the histology of liver of the rats. The extract was also investigated for its antioxidant potential by employing different in vitro methods. Among the three test doses of extract, 200 mg/kg was found to be the most effective dose. The significant (p<0.01) hepatoprotective and antioxidant activities exhibited by the extract, in different in vivo models and in vitro studies respectively may be attributed to the flavonoids and phenolic compounds present in the extract.
Downloads
521
262 Read
262
References
Aniya Y, Koyama T, Miyagi C, Miyahira M, Inomata C, Kinoshita S, Ichiba T. Free radical scavenging and hepatoprotective actions of the medicinal herb, Crassocephalum crepidioides from the Okinawa Islands. Biol Pharm Bull. 2005; 28: 9-23.
Bhagat J, Lobo R, Parmar V. In vitro free radical scavenging potential of Indian habitant Anisochilus carnosus (L. F.) Wall [J]. Chin J Nat Med. 2011; 9: 456-60.
Bibhabasu Hazra, Santanu Biswas and Nripendranath Mandal. Antioxidant and free radical scavenging activity of Spondias pinnata. BMC Comp Alt Med. 2008; 8: 63.
Blios MS. Antioxidant determination by the use of stable free radical. Nature. 1958; 181: 1199-200.
Decker K, Keppler D: Galactosamine hepatitis: Key role of the nucleotide deficiency period in the pathogenesis of cell injury and cell death. Rev Physiol Biochem Pharmacol. 1974; 71: 77-106.
Devi CHB, Singh NKS, Ram SS, Sudarshan M, Chakraborty A , Rajmuhon N. Trace element profile of some selected medicinal plants of Manipur, India. Sci J Pure Appl Sci. 2013; 2: 332-40.
Dhiman A, Nanda A, Ahmad S. A recent update in research on the antihepatotoxic potential of medicinal plants. J Chin Integr Med. 2012; 10: 117-19.
Dufour DR, Lott JA, Nolte FS, Gretch DR, Koff RS, Seeff, LB. Diagnosis and monitoring of hepatic injury. II. Recommendations for use of laboratory tests in screening, diagnosis, and monitoring. Clin Chem. 2000; 46: 2050-68.
Garratt DC. The quantitative analysis of drugs. Vol 3. Japan, Chapman and Hall ltd, 1964, pp 456-58.
Gini CK and Muraleedhara GK. Hepatoprotective effect of Spirulina lonar on paracetamol induced liver damage in rats Asian J Exp Biol Sci. 2010; 1: 614-23.
Hochestein P, Atallah AS. The nature of oxidant and antioxidant systems in the inhibition of mutation and cancer. Mutation Res. 1988; 202: 363.
Kaplowitz N. Drug-induced liver disorders: Implications for drug development and regulation. Drug Safety. 2001; 24: 483-90.
Karan M, Vasisht K, Handa SS. Antihepatotoxic activity of Swertia chirata against paracetamol and galactosamine induced hepatotoxicity in rats. Phytother Res. 1999; 13: 95-101.
Katunuma N, Ohashi A, Sano E, Ishimaru N, Hayashi Y, Murata E. Catechin derivatives: specific inhibitor for caspases-3, 7 and 2, and the prevention of apoptosis at the cell and animal levels. FEBS Lett. 2006; 580: 741-46.
Keppler D, Lesch R, Reutter W, Decker K. Experimental hepatitis induced by D-galactosamine. Exp Mol Pathol. 1968; 9: 279-90.
Marinova D, Ribarova F, Atanassova M. Total phenolics and total flavonoids in Bulgarian fruits and vegetables. J Univ Chem Tech Met. 2005; 40: 255-60.
Naskar S, Islam A, Mazumder UK, Saha P, Haldar PK, Gupta M. In vitro and in vivo antioxidant potential of hydrometha-nolic extract of Phoenix dactylifera fruits. J Sci Res. 2010; 2: 144-57.
Neamsuvan O, Singdam P, Yingcharoen K, Sengnon N. A survey of medicinal plants in mangrove and beach forests from sating Phra Peninsula, Songkhla Province,Thailand. J Med Plants Res. 2012; 6: 2421-37.
Nirmala M, Girija K, Lakshman K, Divya T. Hepatoprotective activity of Musa paradisiaca on experimental animal models. Asian Pac J Trop Biomed. 2012; 10: 11-15
Nishikimi M, Rao NA, Yagi K. The occurrence of super oxide anion in the reaction of reduced Phenazine methosulphate and molecular oxygen. Biochem Biophys Res Commun. 1972; 46: 849-53.
Oyaizu M. Studies on product of browning reaction prepared from glucose amine. Japan J Nutr. 1986; 44: 307?15.
Rajan S, Mahalakshmi S, Deepa VM, Sathya K, Shajitha S, Thirunalasundari T. Antioxidant potentials of Punica granatum fruit rind extracts. Int J Pharm Pharm Sci. 2011; 3: 82-88.
Tanikawa K, Torimura T. Studies on oxidative stress in liver diseases: Important future trends in liver research. Med Mol Morphol. 2006; 39: 2227.
Yanling S, Jie S, Hui H, Hui G, Sheng Z. Hepatoprotective effects of Ganoderma lucidum peptides against d-galactosamine-induced liver injury in mice. J Ethnopharmacol. 2008; 117: 415-19.
Zhen-Ming Lu, Wen-Yi Tao, Xi-Liang Zou, Hui-Zi Fu, Zong-Hua Ao. Protective effects of mycelia of Antrodia camphorata and Armillariella tabescens in submerged culture against ethanol-induced hepatic toxicity in rats. J Ethnopharmacol. 2007; 110: 160-64.

Published
How to Cite
Issue
Section
License
Authors who publish with this journal agree to the following terms:
- Authors retain copyright and grant the journal right of first publication with the work simultaneously licensed under a Creative Commons Attribution License that allows others to share the work with an acknowledgement of the work's authorship and initial publication in this journal.
- Authors are able to enter into separate, additional contractual arrangements for the non-exclusive distribution of the journal's published version of the work (e.g., post it to an institutional repository or publish it in a book), with an acknowledgement of its initial publication in this journal.
- Authors are permitted and encouraged to post their work online (e.g., in institutional repositories or on their website) prior to and during the submission process, as it can lead to productive exchanges, as well as earlier and greater citation of published work (See The Effect of Open Access).