Withaferin A inhibits osteosarcoma cells through inactivation of Notch-1 signalling
DOI:
https://doi.org/10.3329/bjp.v9i3.19568Keywords:
Withaferin A, Withanolides, Adenocarcinoma, Phosphorylation, ApoptosisAbstract
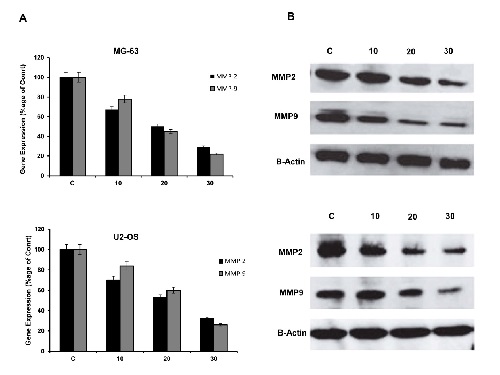
Human osteosarcoma cells were treated with withaferin A and the antiproliferative activity was evaluated by the 3-(4, 5 dimethyl-thiazol-2-yl)-2, 5-diphenyltetrazolium bromide (MTT) assays. Real-time RT-PCR and western blot were used to investigate whether the down-regulation of Notch-1 contributes to withaferin A-induced inhibition of proliferation in osteosar-coma cells. The results showed that withaferin A caused marked inhibition of osteosarcoma cell growth and G2?M phase cell cycle arrest. This was associated with concomitant attenuation of Notch-1 and down-regulation of its downstream genes, such as matrix metalloproteinases. These results suggest that antitumor activity of withaferin A is mediated through a novel mechanism involving inactivation of the Notch-1 signalling pathway. Our data provide the first evidence that the down regulation of Notch-1 by withaferin A may be an effective approach for the treatment of osteosarcoma.
Downloads
476
239 Read
147
References
Arndt CA, Crist WM. Common musculoskeletal tumors of childhood and adolescence. N Engl J Med. 1999; 341: 342-52.
Bielack SS, Kempf-Bielack B, Delling G, Exner GU, Flege S, Helmke K, et al. Prognostic factors in high-grade osteosarcoma of the extremities or trunk: an analysis of 1,702 patients treated on neoadjuvant cooperative osteosarcoma study group protocols. J Clin Oncol. 2002; 20: 776-90.
Engin F, Bertin T, Ma O, Jiang MM, Wang L, Sutton RE, et al. Notch signalling contributes to the pathogenesis of human osteosarcomas. Hum Mol Genet. 2009; 18: 1464-70.
Hughes DP. How the NOTCH pathway contributes to the ability of osteosarcoma cells to metastasize. Cancer Treat Res. 2009; 152: 479-96.
Ichikawa H, Takada Y, Shishodia S, Jayaprakasam B, Nair MG, Aggarwal BB. Withanolides potentiate apoptosis, inhibit invasion, and abolish osteoclastogenesis through suppression of nuclear factor-kappaB (NF-jB) activation and NF-jB-regulated gene expression. Mol Cancer Ther. 2006; 5: 1434-45.
Jang MS, Miao H, Carlesso N, Shelly L, Zlobin A, Darack N et al.Notch-1 regulates cell death independently of differentiation in murine erythroleukemia cells through multiple apoptosis and cell cycle pathways. J Cell Physiol. 2004; 199: 418-33.
Jayaprakasam B, Nair MG. Cyclooxygenase-2 enzyme inhibitory withanolides from Withania somnifera leaves. Tetrahedron 2003; 59: 841-49.
Kaileh M, Vanden Berghe W, Heyerick A, Horion J, Piette J, Libert C, et al. Withaferin a strongly elicits IkappaB kinase beta hyperphosphorylation concomitant with potent inhibition of its kinase activity. J Biol Chem. 2007; 282: 4253-64.
Katoh M. Notch signaling in gastrointestinal tract (review). Int J Oncol 2007; 30: 247-51
Leong KG, Karsan A. Recent insights into the role of Notch signaling in tumorigenesis. Blood 2006; 107: 2223-33.
Koduru S, Kumar R, Srinivasan S, Evers MB, Damodaran C. Notch-1 inhibition by withaferin-A: A therapeutic target against colon carcinogenesis. Mol Cancer Ther. 2010; 9: 202-10.
Li JL, Harris AL. Notch signaling from tumor cells: A new mechanism of angiogenesis. Cancer Cell 2005; 8: 1-3.
Petrilli AS, de Camargo B, Filho VO, Bruniera P, Brunetto AL, Jesus-Garcia R, et al. Results of the Brazilian osteosarcoma treatment group studies III and IV: Prognostic factors and
impact on survival. J Clin Oncol. 2006; 24: 1161-68
Ramdass B, Maliekal TT, Lakshmi S, Rehman M, Rema P, Nair P, et al. Coexpression of Notch1 and NF-kappaB signaling pathway components in human cervical cancer progression. Gynecol Oncol. 2007; 104: 352-61.
Srinivasan S, Ranga RS, Burikhanov R, Han SS, Chendil D. Par-4-dependent apoptosis by the dietary compound withaferin A in prostate cancer cells. Cancer Res. 2007; 67: 246-53.
Stan SD, Hahm ER, Warin R, Singh SV. Withaferin A causes FOXO3a- and Bim-dependent apoptosis and inhibits growth of human breast cancer cells in vivo. Cancer Res. 2008; 68: 7661-69.
Subbaraju GV, Vanisree M, Rao CV, Sivaramakrishna C, Sridhar P, Jayaprakasam B, et al. Ashwagandhanolide, a bioactive dimeric thiowithanolide isolated from the roots of Withania somnifera. J Nat Prod. 2006; 69: 1790-92.
Tanaka M, Setoguchi T, Hirotsu M, Gao H, Sasaki H, Matsunoshita Y, et al. Inhibition of Notch pathway prevents osteosarcoma growth by cell cycle regulation. Br J Cancer 2009; 100: 1957-65.
Wang Z, Zhang Y, Li Y, Banerjee S, Liao J, Sarkar FH. Down-regulation of Notch-1 contributes to cell growth inhibition and apoptosis in pancreatic cancer cells. Mol Cancer Ther. 2006; 5: 483-93.
Zhang P, Yang Y, Zweidler-McKay PA, Hughes DP. Critical role of Notch signaling in osteosarcoma invasion and metastasis. Clin Cancer Res. 2008; 14: 2962-69.

Published
How to Cite
Issue
Section
License
Authors who publish with this journal agree to the following terms:
- Authors retain copyright and grant the journal right of first publication with the work simultaneously licensed under a Creative Commons Attribution License that allows others to share the work with an acknowledgement of the work's authorship and initial publication in this journal.
- Authors are able to enter into separate, additional contractual arrangements for the non-exclusive distribution of the journal's published version of the work (e.g., post it to an institutional repository or publish it in a book), with an acknowledgement of its initial publication in this journal.
- Authors are permitted and encouraged to post their work online (e.g., in institutional repositories or on their website) prior to and during the submission process, as it can lead to productive exchanges, as well as earlier and greater citation of published work (See The Effect of Open Access).