Collision tumor of ovary: a rare combination of dysgerminoma and serous cystadenocarcinoma
DOI:
https://doi.org/10.3329/bjms.v13i2.14955Keywords:
collision tumor, dysgerminoma, serous cystadenocarcinomaAbstract
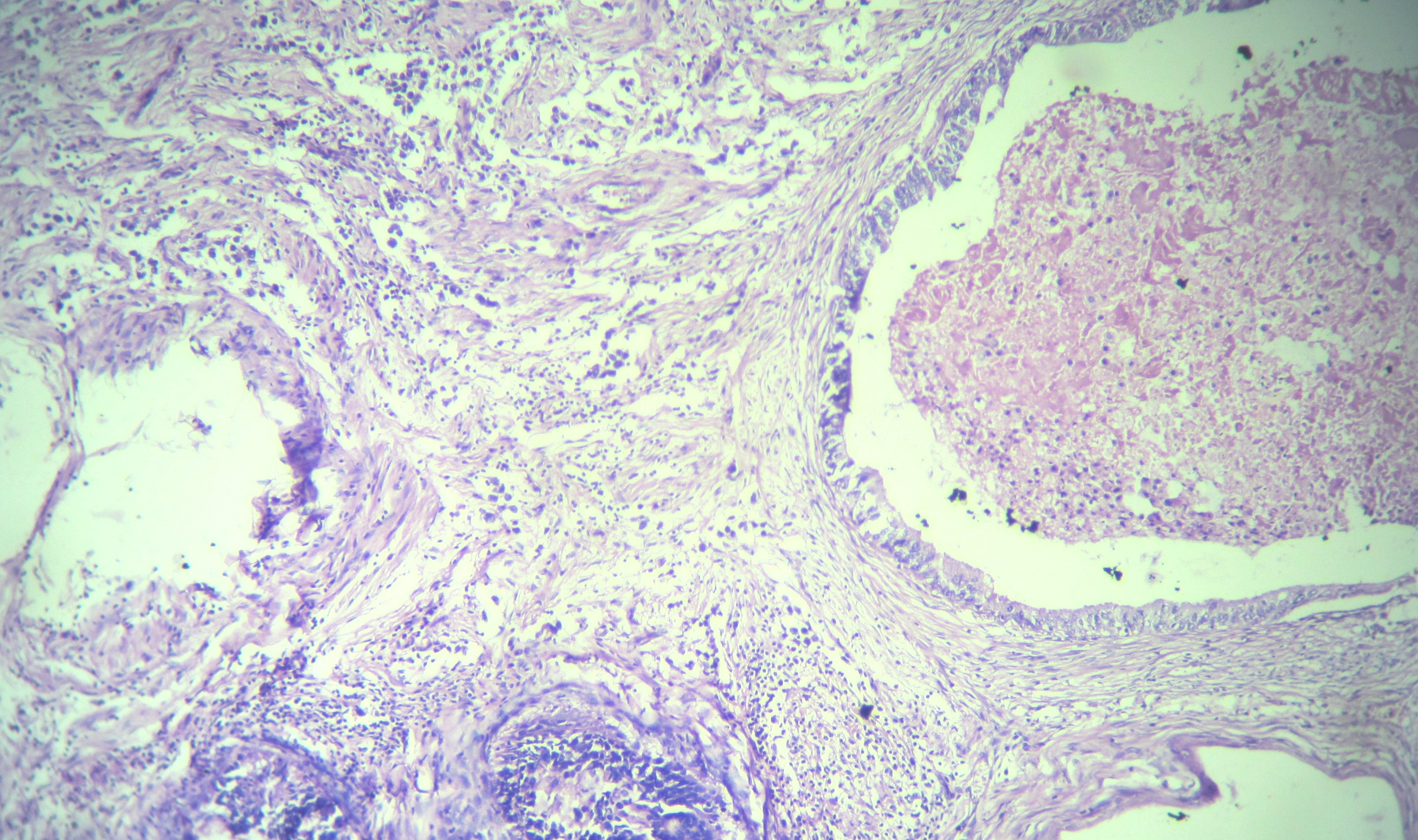
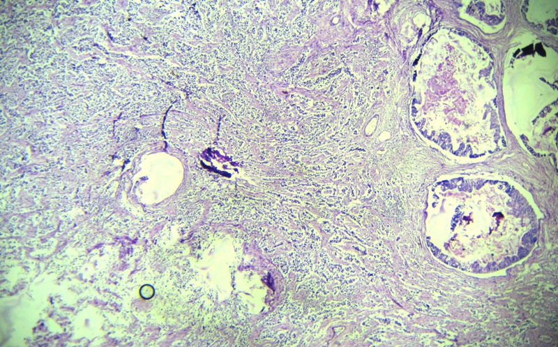
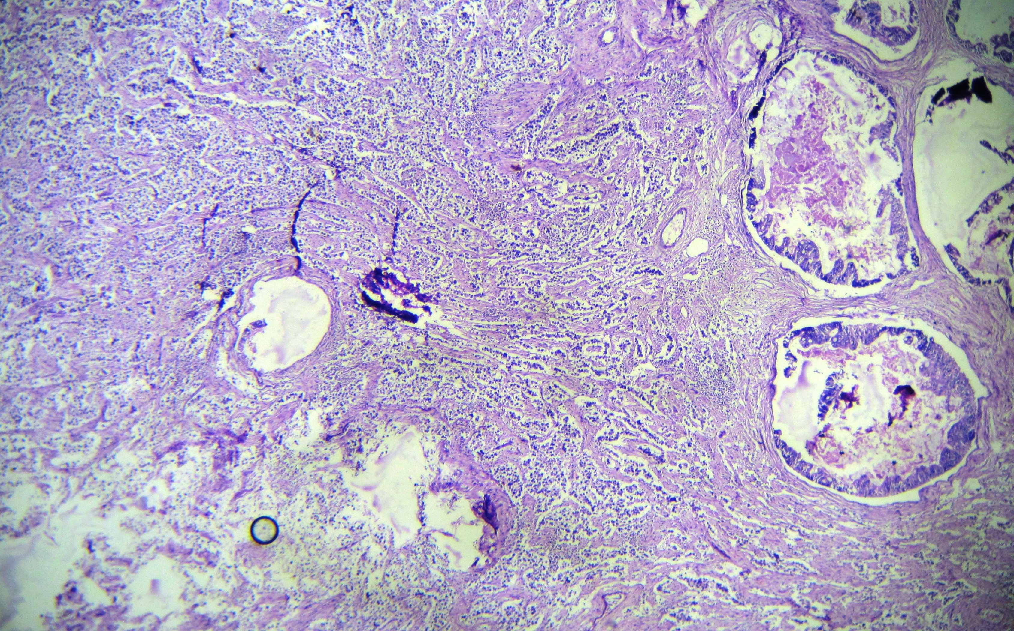
Collision tumors of ovary are rare neoplasms and most commonly consist of a teratoma with mucinous tumor. Combination of papillary serous cystadenocarcinoma and dysgerminoma was yet to be reported. A twenty years female patient presented with a large tumor of right ovary. Microscopically it was diagnosed as a collision tumor of ovary composed of dysgerminoma and serous cystadenocarcinoma. Mixed tumour can arise from divergent differentiation of a single type of stem cell. But components of collision tumor must arise from separate clones. Possibility of collision tumour should always kept in mind during assessment of difficult ovarian tumors to avoid diagnostic error.
DOI: http://dx.doi.org/10.3329/bjms.v13i2.14955
Bangladesh Journal of Medical Science Vol.13(2) 2014 p.224-227
Downloads
359
296
Downloads
Published
How to Cite
Issue
Section
License
Authors who publish in the Bangladesh Journal of Medical Science agree to the following terms that:
- Authors retain copyright and grant Bangladesh Journal of Medical Science the right of first publication of the work.

Articles in Bangladesh Journal of Medical Science are licensed under a Creative Commons Attribution 4.0 International License CC BY-4.0.This license permits use, distribution and reproduction in any medium, provided the original work is properly cited.- Authors are able to enter into separate, additional contractual arrangements for the distribution of the journal's published version of the work (e.g., post it to an institutional repository or publish it in a book), with an acknowledgement of its initial publication in this journal.
- Authors are permitted to post their work online (e.g., in institutional repositories or on their website) as it can lead to productive exchanges, as well as greater citation of published work.